Онколог РФ Борзяница перечислил семь симптомов рака мозга
Какие симптомы бывают у рака головного мозга, рассказал онколог Станислав Борзяница.
Он отметил в интервью Life.ru, что симптомами этого заболевания являются головная боль, судороги, нарушение координации, нарушения зрения и речи. Также на рак головного мозга могут указывать проблемы с памятью и расстройство личности.
Помимо этого, косвенными симптомами рака головного мозга могут быть слабость и онемение конечностей. Но важно понимать, что эти симптомы возможны и при других заболеваниях. Поэтому диагноз может поставить врач только после обследования.
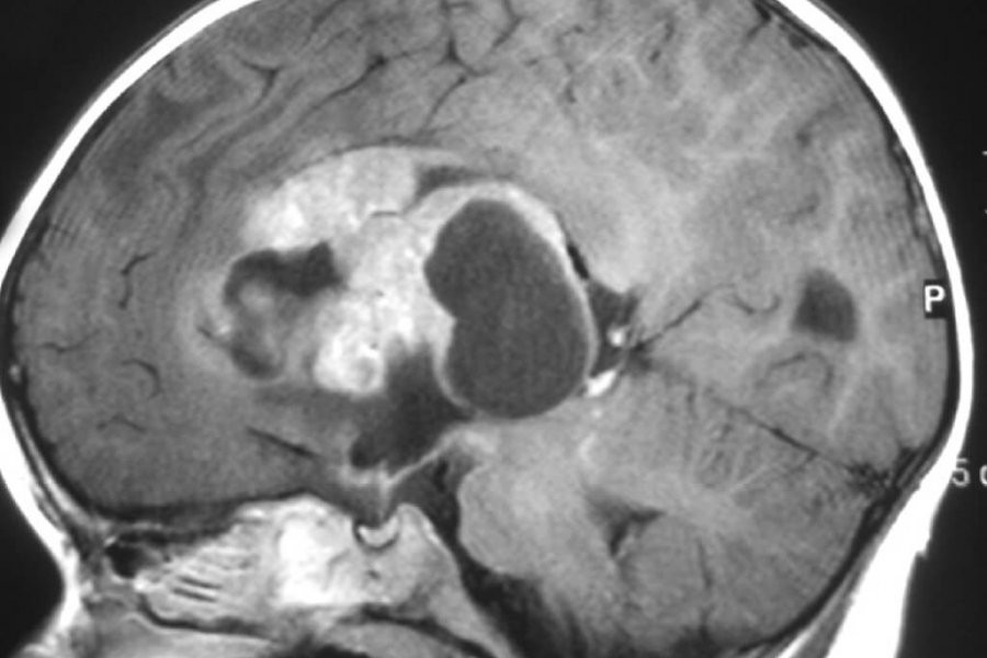
«Основными методами диагностики рака мозга являются компьютерная томография с контрастом (КТ), магнитно-резонансная томография (МРТ)», - сказал Борзяница.
По его словам, никаких методик защиты от рака мозга нет. Но важно вести здоровый образ жизни, следить за весом, правильно питаться, чтобы снизить шансы на его развитие.
Обсудим?
